 |
|
当院では、虫歯予防・歯周病予防を進めていくうえで、「はい、治療は終わりました。ご苦労様でした。」ということはありません。
患者様ごとにお口の中の状態や口腔内の清掃レベルに合わせて、2週間・1ヶ月・3ヶ月・6ヶ月と検診にきていただき、より良い口腔内の状況を維持できるよう、歯科医師、歯科衛生士が患者様と一緒に考えていきます。 痛くないときに歯のクリーニング・予防のみで来院する患者様が、結局は、歯の寿命を延ばしていると考えております。 |
|
|
| これは、10年間メンテナンスなしで放置し症状が悪化した例です。 |
| <30歳代 男性> |
|
|
| 2008年6月 |
|
2017年9月 |
 |
 |
 |
 |
 |
 |
 |
|
 |
|
|
|
|
| この症例は、10年間メンテナンスなしで放置し症状が悪化した後、再度1年間のメンテナンスを行い改善した例です。 |
| <20歳代 男性> |
|
|
|
|
|
|
|
|
| この症例は、7年間メンテナンスで通院され、症状が改善した例です。 |
| <改善した症例>80歳代 男性 |
|
|
|
|
|
| 虫歯と歯周病を予防するには、毎日効果的な歯磨きを行うことが重要ですが、ご自身で磨くだけでは、歯磨きは十分とはいえません。そこで、定期的に歯科医院で、自分ではどうしても取りきれないプラークを除去したり、ブラッシングの方法をアドバイスを受けたり、歯周ポケットの中の歯石を除去するといった専門家による予防処置を受けることが必要です。そうすることで、虫歯や歯周病の発生や進行を防ぎ、歯の寿命を長く保てるのです。
|
|
|
|
| |
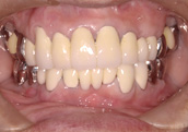
| こちらの症例は、歯がぐらぐらし噛めないということで来院されたケースです。
|
 |
|
3ヶ月に一度の定期健診とクリーニングだけのために来院されています。ブラッシング指導・歯のクリーニングのみで来院され、今では、かたいものがなんでも噛め食事がおいしいと満足し、安定した状態で18年経過し今日に至っています。 この18年間、削ったり詰めたりという、従来考えられている歯科治療は全く行っていません。患者様と歯科衛生士の努力の結果です。この先もこの状態が保たれれば、将来的に歯を失うことなく入れ歯にならないと思われます。患者様が幸せになれば、私たちスタッフ一同も幸せです。 |
|