 |
|
歯周病は、歯と歯ぐきの隙間にたまった歯垢とその中にいる細菌が引き起こす病気です。
最近、歯周病(歯槽膿漏)による歯肉からの出血、はれ、口臭などでお悩みの方が多いと思います。当院は、歯周病をどのように治していくのか、どうすれば生涯自分の歯で生活できるかを患者様とともに考え、アドバイスすることに力を入れています。
歯周病は早期に発見できれば、病気の進行を大幅に遅らせることもできます。決して駄目だとあきらめてはいけません。状況にもよりますが、どんなにひどくても処置すれば何とか間に合います。
歯周病は私たちと患者様の共同作業で治す病気です。気になる方は、ぜひ一度ご相談下さい。 |
|
 |
 |
歯周病治療といえば昔から歯磨き指導と歯石を除去したりする歯のまわりのお掃除がどの歯科医院でもされている基本的な治療です。
しかし、この基本的治療をしても、一生懸命歯磨きしても、なかなか歯肉の炎症が取れず、歯肉の腫れや出血・口臭で悩まれ、歯周病で歯を失う方がおられることも事実です。
原因である菌を特定し、薬でその菌を退治する治療方法が「顕微鏡を使った歯周内科治療」です。 |
 |
| この治療方法には4つの大きなポイントがあります。 |
| 1. |
位相差顕微鏡での菌の確認 |
| 2. |
細菌の除去薬剤の内服 |
| 3. |
カビの除去薬剤あるいはカビとり歯磨きでの歯磨き
|
| 4. |
除菌後の歯石とり |
|
 |
顕微鏡検査では歯周病菌やカビ菌がほとんどの方に見られます。患者さんのお口の中の汚れを少し採取し、それを顕微鏡で観察します。
顕微鏡で見ることで、今現在の菌の状態を確認することができ歯周病になりやすいかどうか、今はどういう状態なのか、これからどういう状態になっていくのかわかってきます。 |
 |
| 49歳の男性 |
治療前の自覚症状
「歯周病と言われました。歯がグラグラして、噛むと痛いです。時々歯ぐきが腫れます。口臭もあります。」 |
|
 |
|
| 初診の菌の状態です。歯周病菌が多数見られます。 |
|
1週間後の非常にきれいになった菌の状態です。本来いるべき正常な菌は残っています。 |
|
 |
 |
 |
 |
| 朝、目覚めた時、おしゃべりをしている時に気になる口臭は、私たちの健康状態を教えてくれる体からのサインです。POICホームケアは、今までの口腔洗浄剤ではできなかったお口の中のたんぱく質汚れを除去し、口臭の原因を除去します。 |
| |
口腔2大疾患である「虫歯」と「歯周病」は細菌が原因の「感染症」なのです。歯を磨くと「歯の汚れ」は取れ、汚れの中の「病原菌」は少しは減りますが、「取り残された何億もの「病原菌」は増殖して「歯や歯茎」を溶かします。最新のホームケアは最先端の技術で生まれた「除菌水 POIC WATER」で毎日お口を清掃することで「虫歯や歯周病」のない「健康なお口」にします。 |
ポイックウォーターの生成には、バイオフィルムを分解して除菌する『新世代型除菌水生成装置』を使用しております。 |
自覚症状の変化:
1週間で口臭、ネバネバ感が消失。出血なし。 |
|
|
|
| |
|
|
| |
|
|
|
|
| |
 |
生まれたときには人のお口の中には歯周病菌は存在しません。しかし、もともといない歯周病菌がなぜ今お口の中にいるかというと、人からうつされているのです。
回し飲みや回し食い、箸の使いまわし、キス、くしゃみなどが感染ルートとしてあげられます。 特に危険なのは性感染です。せっかく歯周病を治してもパートナーからうつされたのでは意味がありません。パートナーの方と同時に治療なさることをおすすめします。 |
 |
| 菌が全身疾患に大きく関与しているのが医科でも問題になってきています。カビが肺に入れば肺炎になってしまいます。歯周病菌も、わずかでもお口の中で出血を起こすとそこから血管に菌が入ってしまい、心臓で炎症を起こすのです。歯周病の人が心臓病になる確率は2〜3倍にあがります。ほかにも、食道癌、糖尿病、早産、高血圧などにも関与しています。 |
|
|
| この症例は、歯肉からの出血、口臭、噛みあわせも悪く、重度の歯周病だった患者様が治療を受けていただくことで、健康なお口を取り戻し、14年以上も3ヶ月に1度メンテナンスに来院され、良い状態を維持されています。現在ブラッシングの時の出血はありません。歯肉の状態は安定しています。 歯周病はコントロールできる病気なのです。 |
|
|
|
|
| この症例は、口臭があり、噛みあわせと見た目も悪く、重度の歯周病だった患者様が治療を受けていただくことで、健康なお口を取り戻し、1ヶ月に1度メンテナンスで3年以上来院され、良い状態を維持されています。現在は歯肉の状態と噛み合わせは安定しています。歯周病はコントロールできる病気なのです。 |
|
|
|
|
|
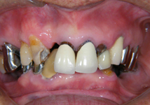
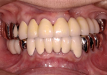
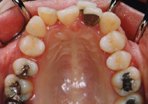
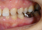
| 重度な歯周病と噛み合わせの崩壊により、食事がしにくかった患者様が、治療を受けていただくことで健康なお口を取り戻し、5年以上1ヶ月に1度のメンテナンスに来院され、良い状態を維持しています。現在はブラッシングの時の出血はなく、歯肉と噛み合わせの状態が安定しています。 |
|
|
|
|
|
|
|
|
|
|
|
|
|
|
|
|
|
|
| この症例は、ブラッシングと清掃と薬での除菌のみで1週間経過した状況です。 歯肉の腫れ・痛みが治まり、ブラシがあてやすくなりました。 |
|
|
| |
| <症例2> 30代の女性 |
| 口腔内の清掃状態が悪く、腫れや痛みがあり、歯ブラシが当てられなかった患者様が、除菌とブラッシング指導を受け、歯石除去をすることにより、歯肉の炎症が治まり健康になりました。 |
 |
 |
 |
 |
| 初診時 |
3日後 |
10日後 |
17日後 |
| |
歯肉の腫れがひく |
歯肉の炎症が治まる |
歯肉が健康になった |
|
|
|
| この症例には、以下の器具を使って清掃しました。 |
|
 |
 |
[プロフィーフレックス]
たばこのヤニなどを除去します。 |
[P・M・T・C シロクススタータキット]
専用チップとペーストを使用して、歯の表面の汚れ(ステイン)や歯石、バイオフィルムを除去します。 |
|
|
|
〔P・M・T・Cとは〕
虫歯や歯周病の原因の一つにプラーク(ネバネバしたお口の中の細菌のかたまり)があります。歯と歯ぐきの間や歯ぐきの境目、歯並びの悪いところのプラークは毎日きちんとブラッシングしていても完璧に落とすことはできません。そこで自分自身でのブラッシングに加えて、診療室での定期的なお口の中のお掃除が必要です。それがP・M・T・Cです。 |
|
| P・M・T・Cによる効果 |
| 1.歯が白くなる |
表面に付いたタバコのヤニ、茶シブなどの汚れが取れます。 |
| 2.歯肉が健康になる |
歯のつけ根にひそんでいる細菌が減り、歯肉が引きしまります。 |
| 3.虫歯が防げる |
虫歯菌のエサになるプラークがなくなるので、虫歯が防げます。 |
|