 |
|
インプラントとは、歯を失った人が自分の歯の代わりに顎の骨の中に埋め込む人工歯根のことです。入れ歯が合わない、入れ歯では噛めない、入れ歯が見えるのが恥ずかしいなど入れ歯でお困り方や、失った歯を補うために両隣の歯を削ってブリッジにしたくない方など、歯を失ってお悩みの方に、天然歯と変わらない外観と感覚を備えた人工歯根(インプラント)を提供しています。
インプラントには、人工歯根の植込み方法やその材質に様々な種類があります。当院では、最新の、そして当院で自信を持って患者様にご提供できる「方法」と「材料」を採用しております。
当院では、精密検査機器として歯科専用のCTスキャナーを使用しています。 |
|
 |
 |
 |
| あごの中に埋まっている歯を立体的に診断することができます。 |
|
三次元の立体画像であらゆる方向から観察できます。
また自由に断面図を作成して診断することができます。 |
|
| |
 |
| 歯の根の形態や数、曲がり具合、方向や長さを立体的にとらえることができますので、根の治療においても役立ちます。 |
|
|
| |
 |
| 歯が生えてくる状況について、その位置・方向や歯の完成具合を異常がないかどうか三次元画像で確認できます。 |
|
|
| |
 |
| インプラント治療において、あごの骨に埋めるインプラントを立体的にとらえて治療計画を立てられます。 |
 |
|
インプラントの数、長さ、太さをあらゆる方向から診断して正確に決定することができます。
神経などを避けて安全な位置、方向、埋める深さを決められます。
治療計画を具体的にご説明いたします。 |
|
|
| |
 |
歯周病で歯を支える骨がどれくらいなくなっているか?
あるいは治療によりどれくらい骨が再生しているか?を立体画像で視覚的に見ることができますのでご自信の状態をお分かり頂けます。 |
 |
|
|
| 治療計画・治療方針、治療後の評価・確認も情報を共有することができます。 |
|
|
| |
 |
あごの骨も立体的に撮影することができます。
顎関節症などの診断に役立ちますので、ご自身の症状を正しくご理解いただくことができます。 |
|
|
| |
|
|
|
| 右下奥に義歯を入れられておりましたが、うまく噛めずにインプラントにしました。現在は満足して食べられると患者様に感謝されました。 |
 |
 |
 |
| インプラントを植立したところ |
|
インプラント治療完了 |
|
|
|
|
|
| 義歯は嫌ということで、下顎両奥をインプラントにしました。今ではかたいものがよく噛めると満足されています。 |
 |
 |
 |
| インプラントを植立したところ |
|
インプラント治療完了 |
|
|
|
|
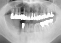
| 自分の歯のように噛みたいということで、右上顎と左下顎の奥をインプラントにしました。今では満足して食べられると患者様に感謝されました。 |
|
|
 |
 |
 |
| インプラントを植立(下の歯) |
|
インプラント治療完了 |
|
|
|
|
| 義歯は嫌ということで、上顎左奥をインプラントにしました。今ではかたいものがよく噛めると満足されています。 |
|
|
|
|
|
|
|
|
| 長年放置していたために、噛みにくい状態が続き食事がしにくかったところを、左上の奥と右上の奥にインプラントを入れて噛めるようになりました。今ではよく噛めると喜んでいらっしゃいます。 |
|
|
|
|
|
|
|
|
|
|
|
|
| 長年放置したために歯周病が進行し噛みにくくなった患者様が、インプラントを入れ全顎的な治療を行い審美改善しました。今はよく噛めるようになったと喜んでいらっしゃいます。 |
|
|
|
|
|
|
|
|
|
長年放置したために歯周病が進行し、尚且つ入れ歯が噛みにくくなったと受診され、両サイドの奥にインプラントを入れ全顎的な治療を行い審美改善しました。
今は見た目もよくなり、よく噛めるようになったと喜んでいらっしゃいます。 |
|
|
|
|
|
|
|
|
[費用]
インプラントの費用は、手術・インプラント・インプラントにかぶせる人工歯の合計となります。1本 ¥200,000〜250,000(税込み)ほどになります。
ただし、インプラントを埋めるための骨が無く、骨移植をした場合は、その材料代として、1手術につき、¥105,000が別途必要となります。
治療計画と費用については充分ご説明いたしますのでご安心ください。
[主なリスク・副作用]
ドリルやインプラント自体により、血管や神経が損傷することで起こるリスクとして、血管損傷や神経麻痺があります。インプラント手術の検査から計画を入念に行うことでトラブルを回避できますが、もしトラブルが起こった場合は、回復するのに数日から数週間必要です。
また、個人差はありますが、手術後の腫れや痛みを伴うリスクもあり、経過と共に減りますが痛みがひどい場合は、痛み止めを服用することが可能です。 |
|
|
| |
| インプラントに関するQ&Aはこちら>> |