|
|
|
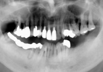
| 奥歯に入れ歯が入っていて、噛みにくいということで受診されました。歯周再生治療と審美補綴治療によってトータルコーディネートしました。今では、よく噛めて、見た目も良くなったと満足されています。 |
|
|
|
|
|
| |
 |
 |
|
 |
|
|
|
|
|
|
両奥歯が崩壊し、前歯の脱離が起きやすく噛みにくいということで来院されました。
歯周再生治療と、審美補綴治療によってトータルコーディネートをしました。
治療後は、「見た目も綺麗で、噛みやすくなった」と満足されています。 |
|
|
|
|
|
| |
 |
 |
|
 |
|
|
|
|
|
|
左奥歯がぐらついて噛みにくいと来院され、歯周再生治療と、審美補綴治療によってトータルコーディネートをしました。
治療後は、「見た目も綺麗で、噛みやすくなった」と満足されています。 |
|
|
|
|
|
| |
 |
 |
|
 |
|
|
|
|
|
|
両方の奥歯が噛みにくく、しっかり噛めるようにしたいということで受診されました。
歯周再生治療と審美補綴治療によってトータルコーディネートしました。
今ではしっかり噛めて見た目もよいと満足されています。 |
|
|
|
|
|
| |
 |
 |
|
 |
|
 |
|
|
|
|
|
|
虫歯と歯周病が進行し、歯が動揺して噛みにくいということで受診されました。
歯周再生治療と審美補綴治療によってトータルコーディネートしました。
今では虫歯も治り、しっかり噛めるようになったと満足されています。 |
|
|
|
|
|
| |
 |
 |
|
 |
|
|
|
|
|
|
|
歯周病が進行し、両奥歯が噛みにくく見た目も悪いということで受診されました。
歯周再生治療と審美補綴治療によってトータルコーディネートしました。
今ではしっかり噛めるようになり、見た目も良くなったと満足されています。 |
|
|
|
|
|
| |
 |
 |
|
 |
|
|
|
|
|
|
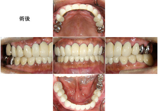
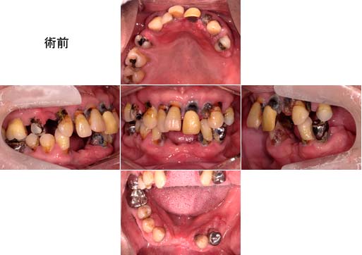
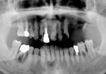
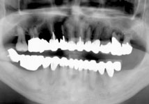
| 上下の義歯が痛く噛みにくく、見た目も悪いということで受診されました。歯周再生治療と審美補綴治療によってトータルコーディネートしました。今ではしっかり噛めるようになり、見た目も良くなったと満足されています。 |
|
|
|
|
|
| |
 |
 |
|
 |
|
|
|
|
|
|
| 歯周病が進行し、下の両奥歯が痛みがあり噛みにくく、出っ歯も気になるということで受診されました。歯周再生治療と審美補綴治療によってトータルコーディネートしました。今ではしっかり噛めるようになり、見た目も良くなったと満足されています。 |
|
|
|
|
|
| |
 |
 |
|
 |
|
|
|
|
|
|
| 歯周病のため両奥歯が噛みにくくなり前歯の虫歯が気になり受診されました。歯周再生治療と審美補綴治療によってトータルコーディネートしました。今ではしっかり噛めるようになり、見た目も良くなったと満足されています。 |
|
|
|
|
|
| |
 |
 |
|
 |
|
|
|
|
|
|
| 歯周病で両奥歯を失い、前歯の補綴物がよく壊れて噛み難くなったため受診されました。歯周再生治療と審美補綴治療によってトータルコーディネートしました。今ではしっかり噛めるようになり、見た目も良くなったと満足されています。 |
|
|
|
|
|
| |
 |
 |
|
 |
|
|
|
|
|
|
| 両奥歯が噛み難いということで受診されました。義歯がいやとの事で、歯周再生治療と審美補綴治療によってトータルコーディネートしました。今ではしっかり噛めるようになり、見た目も良くなったと満足されています。 |
|
|
|
|
|
| |
 |
 |
|
 |
|
|
|
|
|
|
| 長年放置したために歯周病が進行し噛みにくくなった患者様が、インプラントを入れ全顎的な治療を行い審美改善しました。今はよく噛めるようになったと喜んでいらっしゃいます。 |
|
|
|
 |
 |
 |
| インプラントを植立したところ |
|
植立して1か月後 |
| 正面 |
 |
 |
 |
 |
|
 |
|
| |
 |
 |
|
 |
|
|
|
|
|
|
|
|
|
|
義歯が噛み難く見た目も悪いとのことで受診されました。
歯周再生治療と審美補綴治療によってトータルコーディネートしました。
今ではしっかり噛めるようになり、見た目も良くなったと満足されています。 |
|
|
|
|
|
| |
 |
 |
|
 |
|
|
|
|
|
|
| 長年放置していたために下顎両奥を失い、ますます下顎前突になり、噛み難いため受診されました。
歯周再生治療と、審美補綴治療によってトータルコーディネートをしました。
今では、よく噛めるし、見た目も良いと満足していただいています。 |
|
|
|
|
|
| |
 |
 |
|
 |
|
|
|
|
|
|
もともと義歯が入っていたが、噛み合わせが悪く見た目もよくないために、当院を受診され、歯周再生治療と審美補綴治療によってトータルコーディネートをしました。
今は、見た目も良くなりよく噛めると喜んでいただいております。 |
|
|
|
|
|
| |
 |
 |
|
 |
 |
|
 |
|
|
|
|
|
|
|
長年放置したために歯周病が進行し、尚且つ入れ歯が噛みにくくなったと受診され、両サイドの奥にインプラントを入れ全顎的な治療を行い審美改善しました。
今は見た目もよくなり、よく噛めるようになったと喜んでいらっしゃいます。 |
|
|
|
|
|
| |
 |
 |
|
 |
|
|
|
|
|
|
| もともと不適合な義歯が入っていて、歯周病が進行し、噛み合わせが悪く見た目もよくないために、当院を受診され、歯周再生治療と、審美補綴治療によってトータルコーディネートをしました。今は、見た目も良くなりよく噛めると喜んでいただいております。 |
|
|
|
|
|
| |
 |
 |
|
 |
|
|
|
|
|
|
| 長年、カリエスを放置していたために、噛み合わせが悪く、食事がしにくいということで、当院を受診され、歯周再生治療と、審美補綴治療によってトータルコーディネートをしました。今は、噛み合わせも良くなり、見た目もきれいで、よく噛めると喜んでいただいております。 |
|
|
|
|
|
| |
 |
 |
 |
 |
|
 |
|
|
|
|
|
|
カリエスが多く、歯周病が進行し、硬いものが噛みにくいと、当院を受診され、歯周再生治療と、審美補綴治療によってトータルコーディネートをしました。今は、歯周病も改善し、痛みもなく、よく噛めると喜んでいただいております。
|
|
|
|
|
|
| |
 |
 |
 |
|
|
|
|
|
|
| 他の歯科医院で定期健診や清掃を受けてこられましたが、
最近噛みにくくなり、見た目も気になるとのことで当院を受診され、
歯周再生治療と、審美補綴治療によってトータルコーディネートをしました。
今は、見た目もよくなり、よく噛めると喜んでいただいております。
|
|
|
|
|
|
| |
 |
 |
 |
|
|
|
|
|
|
|
|
| |
|
| 見た目も悪く噛みにくく、被せ物が脱離して、破損するということで受診されました。
歯周病によって失った歯を歯周再生治療と審美補綴治療によってトータルコーディネートしました。
今は見た目もよく噛みやすくなったと喜んでいただいています。 |
|
|
|
| |
 |
 |
 |
|
|
|
| |
|
|
| 長年放置していたため虫歯と歯周病が進行し、噛みにくくなったということで受診されました。
2年かけて歯周病で失った歯を、歯周再生治療と審美補綴治療によって
トータルコーディネートしました。
今では、よく噛めるし、見た目も良いということで
満足していただいています。 |
|
|
|
| |
 |
 |
 |
|
|
|
| |
|
| 見た目も悪く、噛みにくいということで、
当院を受診され、歯周病によって失った歯を、
歯周再生治療と、審美補綴治療によって
トータルコーディネートをしました。
今は、見た目も良くなり噛みやすくなったと喜んでいただいています。 |
|
|
|
| |
 |
 |
 |
|
|
|
| |
|
| 長年虫歯を放置していたために歯を失い、噛みにくく見た目も気になるということで受診されました。
歯周再生治療と、審美補綴治療によってトータルコーディネートをしました。
今は、見た目も良くなり噛みやすくなったと喜んでいただいています。 |
|
|
|
| |
 |
 |
 |
|
|
|
| |
|
| カリエスが多く、左上奥歯を失ったため噛み難いということで受診されました。
歯周再生治療と、審美補綴治療によってトータルコーディネートをしました。
今は、見た目も良くなり噛みやすくなったと喜んでいただいています。 |
|
|
|
| |
 |
 |
 |
|
|
|
| |
|
| 左下の入れ歯が合わなくて噛みにくいということで受診されました。
歯周病によって失った歯を、歯周再生治療と、審美補綴治療によってトータルコーディネートをしました。
今は、見た目も良くなり、噛み易くなったと喜んでいただいています。 |
|
|
|
| |
 |
 |
 |
|
|
|
| |
|
| 長期間虫歯を放置していたため、しっかり噛むことができず、見た目も悪いということで受診されました。
審美補綴治療によってトータルコーディネートをしました。
今は、見た目も良くなり、よく噛めるようになったと喜んでいただいています。 |
|
|
|
| |
 |
 |
 |
|
|
|
| |
|
| 別の歯科医院さんで、歯周治療を受けていらっしゃいましたが、しっかり噛めないということで当院を受診され、歯周病によって失った歯を、歯周再生治療と、審美補綴治療によってトータルコーディネートをしました。今は、見た目も良くなり、しっかり噛めると喜んでいただいています。 |
|
|
|
| |
 |
 |
 |
|
|
|
| |
|
| 長年虫歯を放置していたために歯を失い、噛みにくく見た目も気になるということで受診されました。
歯周再生治療と、審美補綴治療によってトータルコーディネートをしました。
今は、見た目も良くなり噛みやすくなったと喜んでいただいています。 |
|
|
|
| |
 |
 |
 |
|
|
|
| |
|
| 歯周病によって歯を失い、見た目も悪く噛み難いということで受診されました。
歯周再生治療と、審美補綴治療によってトータルコーディネートをしました。
今は、見た目も良くなり、よく噛めるようになったと喜んでいただいています。 |
|
|
|
| |
 |
 |
 |
|
|
|
| |
|
| 被せ物の脱離が起きやすくなり噛みにくく、見た目も気になるということで受診されました。
歯周再生治療と審美補綴治療によって、トータルコーディネートをしました。
今は、見た目も良くなり、噛みやすくなったということで、喜んでいただいています。
|
|
|
|
| |
 |
 |
 |
|
|
|
| |
|
| 長年放置していたために、「噛みにくく見た目も悪い」との事で当院を受診されました。歯周病で失った歯を、歯周再生治療、審美補綴治療によってトータルコーディネートしました。今では「よく噛めて見た目も良い」と満足されています。
|
|
|
|
| |
 |
 |
 |
|
|
|
| |
|
| もともと入れ歯を入れておられ、
重度の歯周病のため歯がぐらつき、噛みにくくなり、来院されました。
歯周病によって失った歯を、歯周再生治療と、審美補綴治療によってトータルコーディネートをしました。今は、見た目も良くなり、入れ歯にせずに済み、噛みやすくなったと喜んでいただいています。
|
|
|
|
| |
 |
 |
 |
|
|
|
| |
|
| 歯周病によって歯を失い、見た目も悪く噛み難いということで受診されました。
歯周再生治療と、審美補綴治療によってトータルコーディネートをしました。
今は、見た目も良くなり、よく噛めるようになったと喜んでいただいています。
|
|
|
|
| |
 |
 |
 |
|
|
|
| |
|
| もともと入れ歯を入れておられ、重度の歯周病のため歯がぐらつき、噛みにくくなり、見た目も気になり来院されました。
歯周病によって失った歯を、歯周再生治療と、審美補綴治療によってトータルコーディネートをしました。
今は、見た目も良くなり、入れ歯にせずに済み、噛みやすくなったと喜んでいただいています。
|
|
|
|
| |
 |
 |
 |
|
|
|