 |
|
歯並びや歯の変色などの問題を解決し、審美的・機能的に優れ、まるで自分の歯のように自然に仕上がり、笑顔に自信を与えてくれます。
歯肉と被せた冠の縁に黒い金属が見える
歯が着色している
歯が抜けている
歯が折れている
歯と歯の間に隙間がある
・・・などのお悩みをお持ちの方は是非一度ご相談ください。 |
|
|
| 治療内容 |
歯並びと変色が気になり来院され、上の前歯4本に、オールセラミックを装着して審美改善しました。
歯並びも綺麗になり満足されています。 |
| 治療期間・回数 |
3ヶ月 |
| 費用※自由診療となります。 |
総額 440,000万円(税込) |
| リスク |
保険がきかないため費用が高額になります。 |
|
|
|
|
|
| <症例2>著しく崩壊した口腔状態を補綴処理によって修復した例 |
 |
 |
 |
 |
|
 |
|
| 治療内容 |
長期間、虫歯を放置していたため食べ物が噛めなくなり、著しく崩壊した口腔状態で来院されました。
上下前臼歯をハイブリットセラミックで修復し見た目もよく、噛みやすくなったと満足されています。
|
| 治療期間・回数 |
1年 |
| 費用※自由診療となります。 |
総額 880,000円(税込) |
| リスク |
経年的に変色します。また、保険がきかないため高額になります。 |
| |
|
| 治療内容 |
古い金属の詰め物で見た目が気になると来院され、詰め物を撤去し、下臼歯8本をハイブリットセラミックで審美改善しました。
|
| 治療期間・回数 |
6ヶ月 |
| 費用※自由診療となります。 |
総額 352,000円(税込) |
| リスク・副作用 |
経年的に変色します。また、保険がきかないため高額になります。 |
| |
|
| |
| 治療内容 |
見た目の悪い被せ物が気になり治したいと来院されました。上の前歯6本にジルコニアを装着しで審美改善しました。
|
| 治療期間・回数 |
6ヶ月 |
| 費用※自由診療となります。 |
総額 792,000円(税込) |
| リスク |
保険がきかないため高額になります。 |
|
|
|
|
|
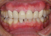
| 治療内容 |
歯の隙間があり見た目をよくしたいと来院さました。上の前歯6本を、メタルボンドで審美改善しました。
|
| 治療期間・回数 |
6ヶ月 |
| 費用※自由診療となります。 |
総額 528,000円(税込) |
| リスク |
透明感が若干すくないです。また、保険がきかないため高額になります。 |
|
|
|
|
|
|
|
|
|
|
|
|
|
|
料金表
| 素材 |
税込価格(1本) |
長所 |
短所 |
| ジルコニア |
132,000円 |
・見た目や色が自然の歯に近い
・耐久性がある
・金属を使用していない |
・保険がきかない |
| オールセラミック |
110,000円 |
・透明感がある
・変色しにくい |
・保険がきかない |
| メタルボンド |
88,000円 |
・見た目が良い
・強度が高い |
・透明感が若干少ない
・保険がきかない |
| ハイブリッドセラミック |
44,000円 |
・オールセラミックより柔らかく、周囲の歯にダメージを与えにくい |
・経年的に変色する
・保険がきかない |
|
|