 |
|
 |
 |
顎関節は直接咬み合わせの影響を受ける重要な運動器官です。
そこで当クリニックでは顎関節と調和のとれた機能重視の治療を行っています。例えば、ドアとヒンジ(ちょうつがい)の関係で、ドアがぴったり閉まるのはこの両者がうまく機能しているからです。かんじんのヒンジの調子が悪ければドアはぴったり閉まりませんし、ドアがひずんでいればヒンジをも痛めてしまいます。ここではヒンジが顎関節、ドアが歯ですがこの両者の調和こそが大切であると考えています。 |
|
|
| 上あごが下あごより前に突き出している咬み合わせを上顎前突(出っ歯)といいます。 |
|
 |
|
 |
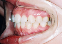
| 治療前 |
|
治療前 |
 |
|
 |
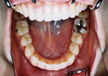
| 治療前 |
|
治療前 |
 |
|
 |
 |
|
 |
| 治療中 |
|
治療中 |
 |
|
 |
 |
|
 |
| 治療後 |
|
治療後 |
 |
|
 |
| 治療後 |
|
治療後 |
|
|
|
|
| 下あごが上あごより前に突き出している咬み合わせを下顎前突(受け口・反対咬合)といいます。 |
|
 |
|
 |
| 治療前 |
|
治療前 |
 |
|
 |
 |
|
 |
| 治療中 |
|
治療中 |
 |
|
 |
| 治療中 |
|
治療中 |
 |
|
 |
 |
|
 |
| 治療後 |
|
治療後 |
|
|
|
|
| 歯が重なり合って、でこぼこになった咬み合わせを叢生(八重歯・乱ぐい歯)といいます。歯が並びきらず、歯ぐきの根元の方や内側から生えてきたりします。 |
|
| <症例1> |
|
|
 |
|
 |
| 治療前 |
|
治療前 |
 |
|
 |
| 治療前 |
|
治療前 |
 |
|
 |
 |
|
 |
| 治療後 |
|
治療後 |
 |
|
 |
| 治療後 |
|
治療後 |
|
|
| <症例2> |
|
|
 |
|
 |
| 治療前 |
|
治療前 |
 |
|
 |
 |
|
 |
| 治療中 |
|
治療中 |
 |
|
 |
| 治療中 |
|
治療中 |
 |
|
 |
| 治療中 |
|
治療中 |
 |
|
 |
 |
|
 |
| 治療後 |
|
治療後 |
|
|
|
|
| 上下の歯を咬み合わせた時、奥歯は咬んでいても横や前の歯が咬み合わずに開いているものを開咬といいます。指しゃぶりや、舌を出す癖があったり、口呼吸を続けていたりする事などから起こります。 |
|
|
|
 |
料金表(税込)
| 内容 |
費用 |
| ・相談料 |
1,100円 |
| ・検査・診断料(レントゲン、模型、顔面・口腔内写真) |
|
| 全顎治療 |
55,000円 |
| 部分治療 |
38,500円 |
| ・装置料 |
|
| 成人矯正(全顎) |
660,000円 |
| 小児矯正(部分) |
165,000円 |
| ・調節料 |
5,500円 |
| ・観察料 |
3,080円 |
| ・再診料 |
660円 |
|
[主なリスク・副作用]
・矯正をする前に検査をして、むし歯や歯周病がある場合は、治療を全て済ませてからの矯正治療となります。
・矯正は弱い力で少しずつ歯を動かして治療しますので、装置によっては少し痛い場合もありますが、3〜4日程度で痛みはなくなり、日常生活にほとんど影響はありません。
・歯と顎の大きさの不調和が著しいときは、歯を抜くほうが望ましいです。しかし、顎の成長が期待できる子どもの場合、歯を抜かずに治療できる可能性が高くなります。
・動かした歯は、元の状態に戻ろうとする働きをします。開咬など、その原因に舌癖などの悪習慣が見られる症例は安定しにくいことがあります。治療が終了したら、簡単な保定装置を1〜2年つけて、治療後の状態を安定させます。 |
|
|